502 Wicks Lane,
Billings, MT 59105
Hours: M-W: 7am-5pm & Th: 7am-3pm
Hours: M-W: 7am-5pm & Th: 7am-3pm
New Patients
(406) 409-7230
Existing Patients
(406) 248-7868














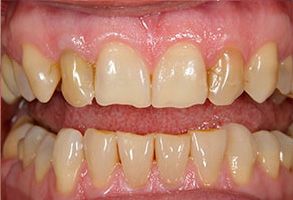
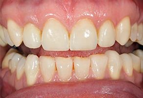
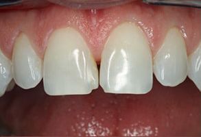
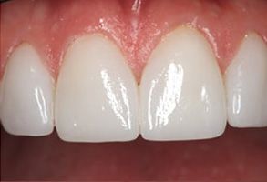
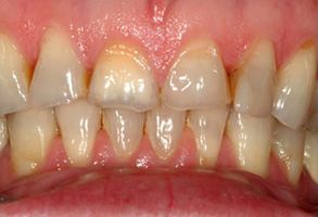
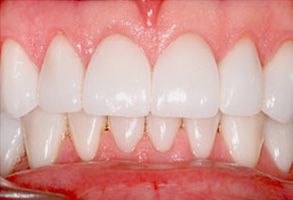
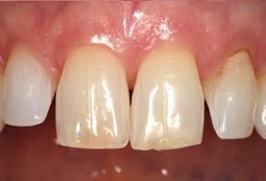
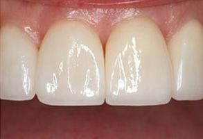
Our goal is to help every patient experience the benefits of good oral health and a beautiful smile. We value the trust you have placed in our office and strive to provide solutions that meet your dental needs and expectations of care.
